For years, I suffered from sensitive or irritated gums. It started with mild sensitivity. A sting when brushing, a shock from cold water.
When I first went to the dentist, he told me: “It’s your gums receding and it happens with age. You can’t reverse it, but we can manage it.”
So I used the medicated rinse he gave me for three months. Three months later, my gums had receded even further. I was devastated.
Nothing Worked. Not Toothpaste. Not Mouthwash. Not Professional Treatments
In the years that followed, I spent a small fortune on dental products.
Desensitizing toothpastes. Alcohol-based mouthwashes. Natural home remedies like oil pulling and saltwater rinses.
Every product promised to strengthen my gums, but none stopped the sensitivity.
Some even made it worse.
It felt like my gums were slowly disappearing, one brush at a time.
I could It worried me that my smile didn’t feel the same I became more aware of how much my gums had changed.
I realized I needed to take better care of my gums. That made me search for answers, real answers.
The Study That Changed Everything
One night, while reading through dental health forums, I came across a discussion about a new study.
It focused on a simple but powerful idea: “Supports the natural balance of the gums, but only if you fix the problem at the cellular level.”
That one line caught my attention.
I learned that most commercial toothpaste and mouth rinses fail because they only work on the surface.
They don’t reach the deeper layers of gum tissue where real comfort begins.
The study revealed that to stop gums receding and helps maintain gum comfort, you need three things:
1️⃣ To rehydrate and protect the gum surface so nutrients can pass through.
2️⃣ To nourish and activate gum cells deep under the surface.
3️⃣ To create a calm, protective environment for the tissue to strengthen naturally.
The research results were clear: Without these three steps, no treatment could truly stop gums receding.
The Product Inspired by This Discovery
When I read further, I found that a group of teeth experts had turned this finding into an easy, at-home solution. A product called Teeth Repair Gel.
It was developed using natural compounds, designed to reach and nourish the gums at a deeper level.
At first, I was skeptical.
I’d seen too many “miracle” products that overpromised and underdelivered.
But what convinced me to try it were two things:
✅ It was free from harsh chemicals or synthetic additives.
✅ It was recommended by teeth experts as a safe, natural way to protect gum tissue.
So, with nothing left to lose, I ordered it.
The First Time I Used It
When it arrived, I didn’t expect much.
It looked simple, a small, white tube.
That night, after brushing, I applied a thin layer along my gumline. It felt cool and soothing.
No burning. No bitterness.
By the third day, the sharp sensitivity from cold water was noticeably less.
After a week, I noticed less sensitivity when brushing.
I remember thinking:
“Is this really happening?”
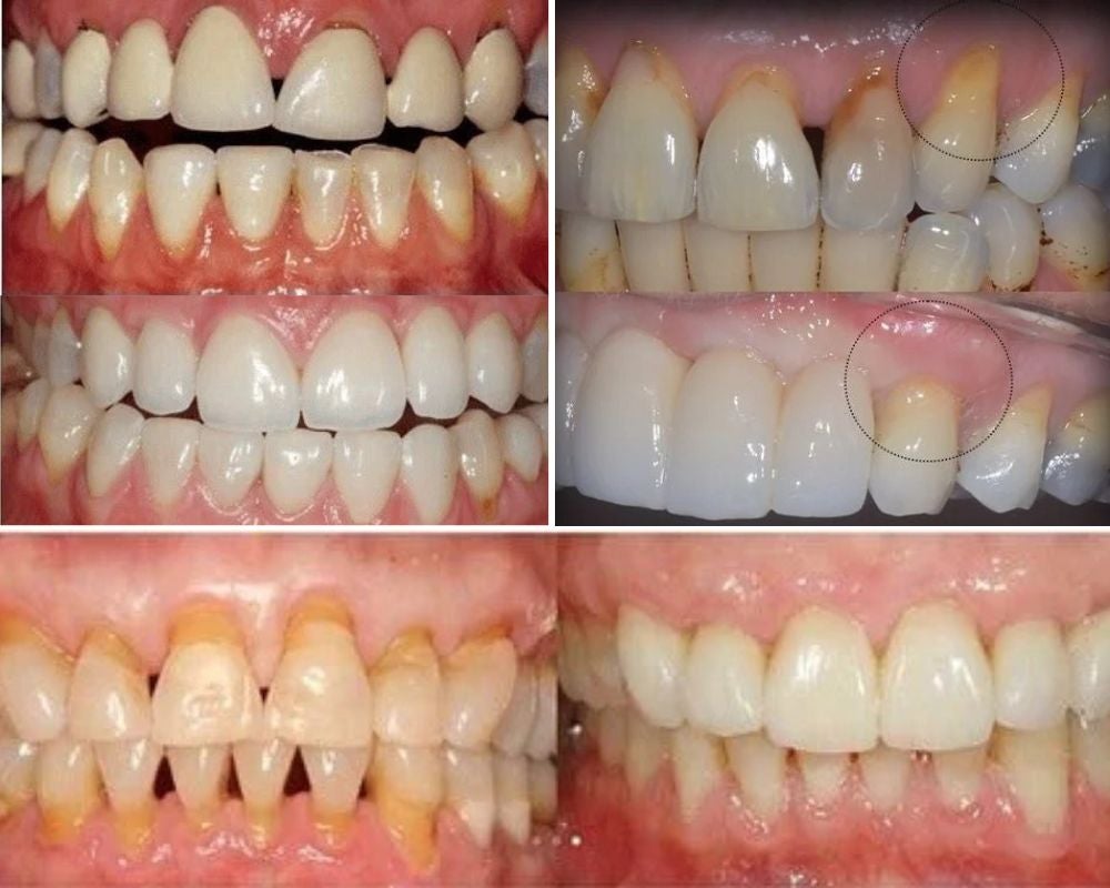
What Happend Over The Next 4 Weeks
Week 1: The sensitivity stopped. My gums felt less sore, and my mouth tasted clean again.
Week 2: The sensitivity from hot and cold food was gone.
I could finally enjoy my morning coffee without wincing.
Week 3: The color of my gums changed. From pale and weak to a healthy, pink tone.
Even my husband said, “Your smile looks different.”
Week 4: During my next check-up, the teeth experts said, “Whatever you’ve been doing, keep it up. Your gums look stronger than last time.”
That’s when I realized it wasn’t just comfort, it was really becoming better.
Why This Formula Works When Others Don't
The secret is in how the gel interacts with gum tissue.
Instead of sitting on the surface like a rinse or paste, Teeth Repair Gel forms a thin layer that allows its active nutrients to sink into the gumline.
Contains ingredients known to support gum comfort and hydration, such as hyaluronic acid, Coenzyme Q10, and Aloe vera
It’s like giving your gums the exact nutrients they’ve been starving for.
And because it’s free from harsh chemicals or synthetic additives, it can be used daily without irritation or side effects.
No surgery. No antibiotics. Just support for your body’s natural process.
Real People. Real Results.
I'm not the only one who's discovered this. When I looked at the reviews, I found hundreds of people my age saying the same things:
“My gums stopped feeling sensitive after just five days. I can finally eat without pain” — Robert, 62
“It’s the first thing that actually made a difference. My dentist even noticed!” — Katy, 58
“I used to cover my smile. Now, I show it proudly.” — Mary, 65
How To Get Tooth Repair Gel
If you’re tired of sensitive, shrinking gums, this is your moment.
Right now, Norea is offering a special promotion on their Teeth Repair Gel:
✅ 50% Off for new customers
✅ Free shipping to your door
✅ 30-day satisfaction guarantee
Normally, a treatment for gums receding can cost hundreds of dollars. But Teeth Repair Gel costs less than $25 per tube, and one tube lasts 4-5 weeks.
⚠️ Important: Because of high demand, the gel often sells out quickly.
That’s why most customers order the 3-pack to avoid running out during treatment.
👉 Claim your 50% discount
✅ Don’t miss this chance
My Honest Conclusion
After years of frustration, I finally found something that worked.
My gums are no longer sore or sensitive.
My smile looks normal again. Healthy, natural, confident.
It’s hard to explain how freeing that feels.
If this helps even one person avoid the pain I went through, sharing my story is worth it.
Update: Due to the meticulous formulation process and limited production capacity of Teeth Repair Gel. If you want to experience the difference for yourself, we strongly recommend ordering today to secure your up to 50% discount, and avoid a long, frustrating wait once the current stock runs out.
LEGAL NOTICE / IMPRESSUM
Company Name and Form:
Morecommerce Ventures LLC, a limited liability company organized under the laws of the State of Wyoming, USA.
Registered Address: 30 N Gould Street, Sheridan, Wyoming 82801, United States
Email: support@trynorea.com
DISCLAIMER ON PRODUCT USE
The Norea Teeth Repair Gel is designed for gentle daily gum care. It is not a medical product and is not intended to diagnose, treat, or cure any disease.s.
HEALTH INFORMATION DISCLAIMER
Information presented on this website is for general educational and lifestyle purposes only. It should not be taken as medical or dietary advice. Please consult a qualified health professional before making any changes related to your health or diet.
ADVERTISING DISCLAIMER
This website and the products and services mentioned herein are part of an advertising marketplace. This page is an advertisement, not a news publication. All names, photos, and stories are illustrative. Individuals shown are models unless otherwise stated.
MARKETING DISCLOSURE
This website functions as a marketing platform. The operator has a financial relationship with the products and services advertised herein and may receive compensation when a qualified lead, purchase, or action is generated.
© 2025 Morecommerce Ventures LLC. All rights reserved.
All trademarks and copyrights are the property of their respective owners.





